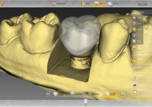
Serce systemu inLab, intuicyjne i kompleksowe oprogramowanie które wspomaga użytkownika na każdym etapie pracy – od skanowania lub importowania skanów STL, przez projektowanie aż do frezowania odbudowy lub jej eksportu w formacie STL. Czytelny interfejs ułożony tak by prowadzić użytkownika krok po kroku przez wszystkie etapy, sprawia że obsługa staje się wyjątkowo prosta. Ponad to opatentowany algorytm Biogeneric Individual tworzący propozycje odbudowy na podstawie uzębienia pacjenta gwarantuje nam wyjątkowo dobrze dopasowane odbudowy.
FACEBOOK
INSTAGRAM
SERWIS
KONSULTANCI








