Orthophos SL 2D Dentsply Sirona - Najnowsze technologie – maksimum wydajności

Teraz w wyjątkowej ofercie!

Skorzystaj z rabatów nawet do 20 000zł wraz z oprogramowaniem Simplant PRO w cenie. Tylko do końca roku 2025.

Orthophos SL 2D

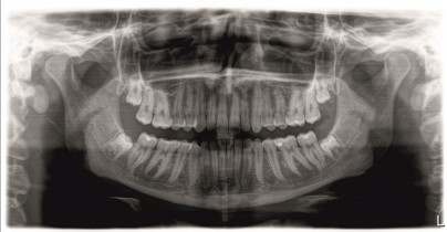
Najnowszy aparat Orthophos SL 2D dzięki przełomowej technologii sensora DCS gwarantuje jeszcze lepsza jakość obrazu, redukcje błędów i najwyższa ostrość. Funkcja autofocus umożliwia znalezienie każdego szczegółu, dzięki czemu stawiane diagnozy będą jeszcze dokładniejsze. Ulepszony panel dotykowy ułatwia obsługę urządzenia oraz pozycjonowanie pacjenta.

  • INNOWACYJNY SENSOR DCS
  • ZAWSZE NAJLEPSZA OSTROŚĆ OBRAZU
  • MOŻLIWOŚĆ ROZBUDOWY DO 3D: 8CM X 8CM LUB 11CM X 10CM
Wybierz pantogram dla siebie
Orthophos E Orthophos S 2D Orthophos SL 2D
Programy
Standardowa panorama P1 P1, P2 P1, P2
Program pediatryczny P10 P10 P10
Ekspozycja lewostronna/
prawostronna
P1L, P1R P1, P1A, P1C, P2, P2A,
P2C,P10, P10A, P10C, BW1
P1, P1A, P1C, P2, P2A,
P2C, P10, P10A, P10C, BW1
Ekspozycja
szczęki/żuchwy
P1, P1A, P1C, P2, P2A,
P2C, P10, P10A, P10C, P12
P1, P1A, P1C, P2, P2A, P2C,
P10, P10A, P10C, P12
Ekspozycja kwadrantów P1, P1A, P1C, P2, P2A,
P2C, P10, P10A, P10C
P1, P1A, P1C, P2, P2A,
P2C, P10, P10A, P10C
Stałe powiększenie P1C P1C, P2C, P10C P1C, P2C, P10C
Redukcja artefaktów P1A P1A, P2A, P10A, TM1A.1,
TM1A.2, TM2A.1, TM2A.2
P1A, P2A, P10A, TM1A.1,
TM1A.2, TM2A.1, TM2A.2
Odcinek przedni P12 P12 P12
Zatoki S1 S1, S2, S3, S4 S1, S3
Wielowarstwowa ekspozycja
trzonowców
MS1 MS1
Stawy skroniowo-żuchwowe TM 1.1, TM 1.2 TM1 – TM6 TM1.1/TM1.2, TM3
Ekspozycja skrzydłowo zgryzowa BW1 BW1, BW2 BW1, BW2
Programy cef. C1, C2, C3, C3F, C4 C1, C2, C3, C3F, C4 C1, C2, C3, C3F, C4
Ambient Light

Kojące oświetlenie LED z ponad 30 kolorami do wyboru stworzy przyjemną atmosferę dla Twoich pacjentów i doskonale dopasuje się do nowoczesnego stylu Twojej praktyki!

light

Automatyczny zagryzak z systemem EVI

Lokalizatory świetlne EVI (Easy Volume Indicator) zostają automatycznie rozstawione na pożądaną wysokość obrazowanej objętości, co czyni pozycjonowanie pacjenta niezwykle prostym – zobrazowana zostanie cześć głowy, widoczna pomiędzy laserowymi wskaźnikami.
oki

Interactive SL - 3 wymiar w pantomografii 2d

111

Dzięki funkcji Interactive Sharp Layer, użytkownik może z łatwością odnaleźć obiekt zainteresowania bez konieczności powtarzania skanów – nawet w specjalnych przypadkach, jak ukryty kanał korzenia powyżej.

SL - Sharp Layer Technology

Technologia Sharp Layer automatycznie dostosowuje łuk panoramy i jego ostra warstwę do indywidualnych cech anatomicznych pacjenta. Specjalne przypadki, jak np. ponad liczbowy ząb nie stanowią problemu, ponieważ w każdej chwili użytkownik można odnaleźć interesujący go szczegół poruszając się po obrazie językowo/policzkowo – dzięki funkcji Interactive Sharp Layer.

Sensor DCS (Direct Conversion Sensor)

Niezrównana jakość obrazu przy najniższej dawce: sensor DCS w aparacie Orthophos SL przekształca promienie X bezpośrednio na sygnał elektryczny. Prowadzi to do mniejszych strat sygnału oraz poprawia wydajność informacji, z której powstaje obraz. Dzięki temu, nawet jeśli użyto bardzo niskiej dawki
promieniowania, uzyskana jakość obrazu jest niebywała.

Kontakt:
Marcin Mądry

Sprzęt
Zastępca kierownika działu sprzętu
+48 735 203 706
marcin.madry@marrodent.pl
mazowieckie, łódzkie, polska północna