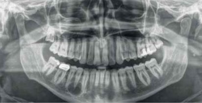
Solidny aparat RTG 2D dla gabinetów w większym stopniu zorientowanych na ekonomiczne rozwiązania. Urządzenie poziomu podstawowego, zapewniające bezproblemowy pierwszy krok do środowiska obrazowania cyfrowego dzięki niezawodnej diagnostyce zapewnianej przez technologię czujnika CsI i nieskomplikowanej obsłudze. Opcja ramienia cefalometrycznego powoduje, że Orthophos E jest również niezawodnym narzędziem w ortodoncji. Poszerz ofertę terapeutyczną swojego gabinetu o szeroki zakres usług dostępnych wyłącznie dzięki wykorzystaniu obrazowania cyfrowego.
FACEBOOK
INSTAGRAM
SERWIS
KONSULTANCI




