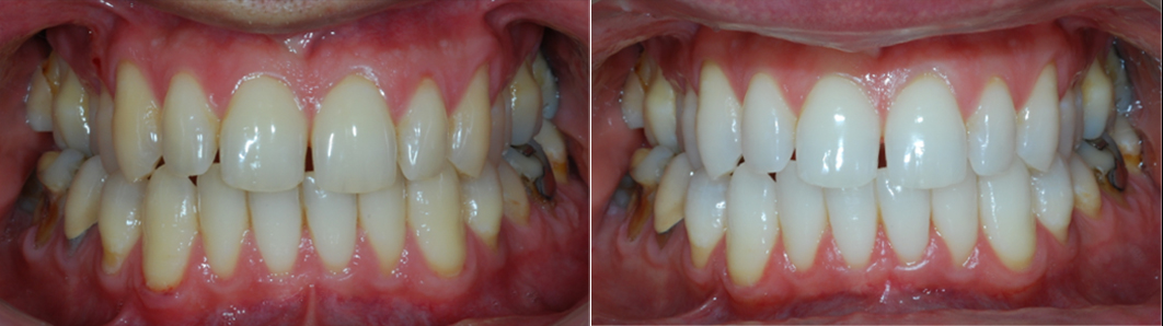
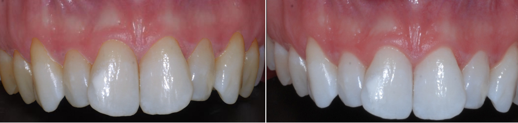
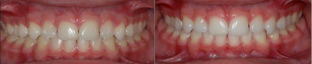
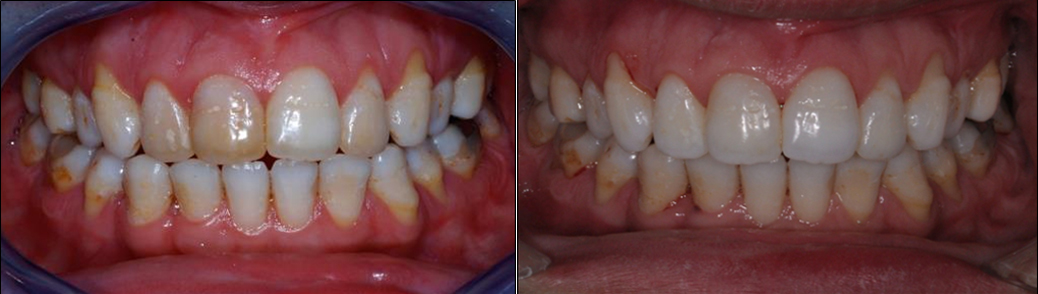
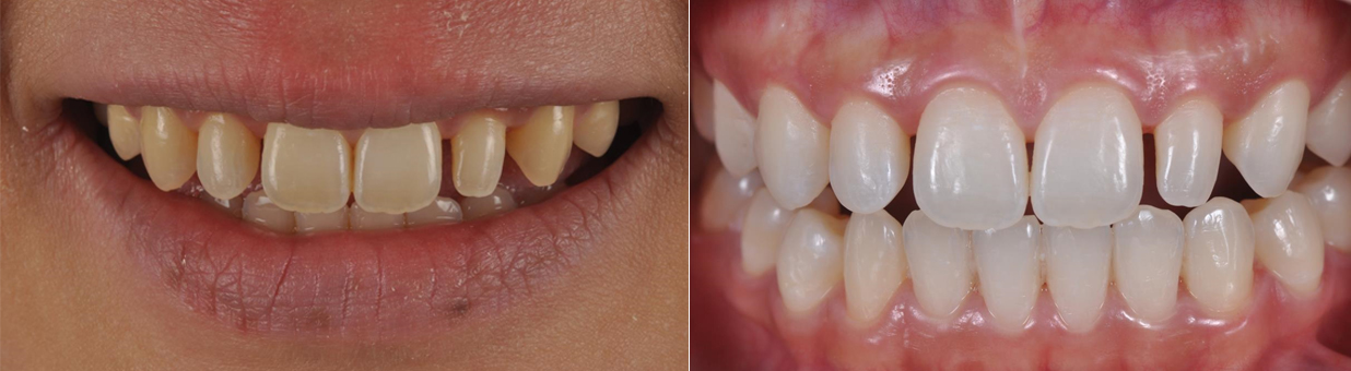
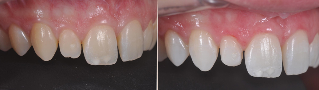
Style Italiano – organizacja założona we Włoszech przez pasjonatów i profesjonalistów stomatologii. Jej misją jest dyskutowanie, omawianie, dzielenie się swoimi doświadczeniami. Co tydzień na stronie SI publikowane są newsy, artykuły, omawiane są nowe przypadki. SI daje możliwość dzielenia się doświadczeniami swojej pracy na specjalnej community page (podstronie SI).
FACEBOOK
INSTAGRAM
SERWIS
KONSULTANCI













