Program szkolenia
Szkolenie wprowadzające z wykorzystaniem kompletnego systemu implantologicznego HDC oraz śrub Spider Screw® 🔩

Szkolenie przeznaczone dla ortodontów chcących wprowadzić do swojej praktyki przewidywalne protokoły leczenia z wykorzystaniem zakotwienia szkieletowego
Dzień I
W trakcie wykładu teoretycznego i warsztatów praktycznych uczestnicy poznają teorie planowania zakotwienia szkieletowego oraz będą mieli możliwość wykorzystanie tej wiedzy w praktyce.
Każdy z uczestników otrzyma modele fantomowe, na których wykona implantację oraz gotowy aparat do dystalizacji trzonowców.
Uczestnicy będę mieli unikalną możliwość obserwacji i przećwiczenia cyfrowego przepływu pracy między gabinetem a laboratorium ortodontycznym, zakończonym otrzymaniem i założeniem gotowego aparatu.
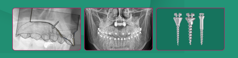
Szkolenie obejmować będzie ćwiczenia z zakresu zakotwienia międzykorzeniowego jak i poza zębowo-wyrostkowego.
Każdy uczestnik zastosuje:
• 2 implanty podniebienne z użyciem szablonu
• 2 implanty międzykorzeniowe w szczęce: jeden przy użyciu szablonu, drugi „free hands”
• implant zygomatyczny w obszarze kresy skośnej żuchwy z użyciem szablonu
• 2 implanty miedzykorzeniowe w żuchwie w sytuacji wystąpienia powikłania utraty implantu.
Po ukończeniu szkolenia uczestnicy nabędą wiedzę i umiejętności niezbędne do prawidłowego zaplanowania i wprowadzenia miniimplantów ortodontycznych. Otrzymane materiały, w tym modele z wprowadzonymi miniimplantami i aparatem podniebiennym będą nie tylko źródłem wiedzy, ale również doskonałym materiałem pokazowym dla pacjenta podczas konsultacji ortodontyczno-implantologicznej.
Dzień II
Na co zwrócić uwagę projektując położenie miniimplantów:
- kliniczna analiza CBCT szczęki
- techniczna analiza CBCT szczęki
2. Hybryd RPE – 2 implanty i 2 pierścienie czy 4 implanty?
- na co zwrócić uwagę klinicznie
- na co zwrócić uwagę technicznie
3. Protokół kliniczno- techniczny wykonania pracy na miniimplantach: Gotowa procedura krok po kroku wraz z częścią praktyczną
4. Praca fantomowa – wkręcenie implantów podniebiennych i samodzielne wykonanie aparatu typu slider – jednoczesna mezjalizacja i dystalizacja
5. Część teoretyczno – technicza – jak wygląda i jak działa Hybryd-RPE
6. Praca fantomowa – Hybryd-RPE
- Jak zamontować aparat na nierównoległych implantach
7. Monitorowanie postępów leczenia i jak „wracać na właściwy tor”
8. Stan zapalny, ból wokół implantu – postępowanie
9. Protokół przy utracie implantu – co robić na poszczególnych etapach:
- mamy szablon, mamy już pracę, ale jeszcze nie rozpoczęliśmy leczenia,
- leczenie jest w trakcie,
- jesteśmy w czasie stabilizacji
10. Prace projektowane 3D – blaski i cienie nowoczesnych rozwiązań. Czy zawsze nowsze oznacza lepsze?
11. Modyfikacje aparatów opartych na podniebieniu
12. Miscellaneous cases

lek. dent. Paweł Machała
Specjalista ortodoncji
Doświadczony klinicysta, absolwent Akademii Medycznej w Łodzi z 1997 roku. Pracownik CSK Uniwersytetu Medycznego w Łodzi 2013-2019. Współpracownik Zakładu Medycyny Sądowej UM w Łodzi jako ekspert z zakresu ortodoncji od 2016. Od 2013 roku prowadzi skojarzone leczenie ortognatyczne współpracując z zespołem Zakładu Chirurgii Szczękowo-Twarzowej Uniwersyteckiego Szpitala Klinicznego WAM w Łodzi. Kierownik i właściciel Zakładu Opieki Zdrowotnej 193 DENT w Łodzi – od 2001- obecnie. Członek Polskiego Towarzystwa Ortodontycznego, członek Sekcji Ortopedii Szczękowej PTS. Od 2022 roku certyfikowany wykładowca GC Orthodontics. Współpracuje z firmą Marrodent przy wdrażaniu kompletnego systemu zakotwienia szkieletowego HDC. Wykładowca Invisalign®. Główne zainteresowania zawodowe : leczenie ortognatyczne, skojarzone leczenie ortodontyczno-chirurgiczne z zabiegami chirurgii plastycznej, rozwój i zastosowanie alignerów, zakotwienie szkieletowe. Zainteresowania pozamedyczne: tenis ziemny, windsurfing, żeglarstwo.

Mgr tech. dent. Grzegorz Piątkowski
Technik dentystyczny zajmujący się zawodowo pełnym spectrum ortodoncji laboratoryjnej. Dzięki współpracy ze wspaniałymi specjalistami ortodoncji ma możliwość wykorzystania swojej wiedzy w praktyce, a dzięki praktyce poszerzać swoją wiedzę teoretyczną. Z techniką jest związany także naukowo i dydaktycznie, jako wykładowca, szkoleniowiec oraz współautor publikacji naukowych. Bierze czynny udział w kursach, zjazdach i konferencjach, wymieniając doświadczenia z technikami dentystycznymi i lekarzami z różnych stron Polski i świata.
💸Koszt szkolenia:
I dzień 5 000zł (early birds do 31.03 – 4 500 zł)
II dzień 5 500 zł (early birds do 31.03 – 5 000 zł)
Pakiet obu kursów:
I i II dzień 10 000 zł (early birds do 31.03 – 9 000 zł)
Wpłaty proszę dokonać na konto bankowe:
Digital Orthodontic Center Sp. z o.o.
PKO: 81 1020 3408 0000 4102 0599 1049
Tytuł przelewu: Imię i nazwisko, nazwa szkolenia, data szkolenia
Informacje i zapisy:
Dział szkoleń Marrodent
📞 604 510 689
📞662 319 902
📩szkolenia@marrodent.pl